
年長者的牙齒保健
張智洋
近年來隨著國人平均壽命越來越長,大家對於自己的身體健康也就越來越重視。而台灣已經逐漸地邁入高齡化的社會,隨著人們越來越長壽,與高齡相關的疾病也就越常見。所以對於年長者的健康保養,就逐漸的成為現今社會關注的焦點。
牙齒作為我們每天都要使用到的重要器官,它的好壞更是直接的影響到營養的消化跟吸收,連帶的影響著身體的健康。所以想要健康長壽,第一步就得從牙齒的保健做起才行。

在面對年長者的口腔健康問題時,我們日常該如何照顧和保養呢?
- 口腔清潔:時時刻刻都要保持口腔的清潔,要確實的使用牙刷和牙線。每天至少刷牙兩次,用含氟牙膏清潔,預防蛀牙。牙刷要使用軟毛的,刷牙時注意力道,以防造成牙齦的傷害。牙線也要確實的使用,防止牙菌斑和食物殘渣堆積在牙縫中。
年長者的唾液線會慢慢退化,唾液分泌會減少,口內的酸鹼中和能力較差。所以在進食完後口腔比較容易接近酸性,也比較容易助長蛀牙的發生率。最好在每餐飯後就要把牙齒刷乾淨,常保口腔的清潔,避免食物殘留太久在牙齒上,產生過多的酸造成蛀牙。


- 飲食控制: 儘量少吃甜食和飲料,如果有吃的話,也要在吃完後盡快用水漱口,降低口內的糖分。最近有許多人都流行蔬果養生,採取了攝取大量水果的飲食習慣,殊不知這反而對牙齒是很大的傷害。要小心水果雖然含豐富的維生素,但它同時也含大量的糖和酸,在攝取大量的水果時,也同時會讓牙齒接觸到大量的糖和酸,稍微一不注意,在養身的目標還未達到前,牙齒就已經先蛀光光了。

水果含有大量的糖和酸

長期大量的糖和酸,都是蛀牙的元兇
- 避免咬硬物:很多人都會有喜歡咬硬物的習慣,像螃蟹殼,冰塊,骨頭,瓜子殼等,這些對牙齒都會是很大的傷害。雖然平時它們看起來無害,但這些東西的硬度其實都已經比牙齒還硬,長期的咀嚼下來就會把牙齒給磨損,嚴重時還會造成牙齒的斷裂。

美味的螃蟹,其實暗藏著牙齒健康的殺手

為了咬螃蟹殼而裂開的牙齒
- 注意牙周的健康:牙周病是年長者中最常見的口腔疾病了。尤其是在有慢性疾病(糖尿病、高血壓)的情況下,因為免疫系統的下降,牙周疾病更是容易發生。

要預防牙周病,定期的到牙醫師那檢查和洗牙就很重要了。剛剛提到因為年長者的唾液分泌減少,變得濃稠,因此更容易會有牙結石沉積的問題。而牙結石又常是細菌最喜歡孳生的地方,當牙結石的量越來越多時,就容易造成口內牙齦細菌感染,發炎出血,和牙周病等疾病。一般我們會建議,老年人每3個月就要到牙醫師那定期檢查洗牙,以避免牙結石的堆積,也可預防牙周疾病的產生。
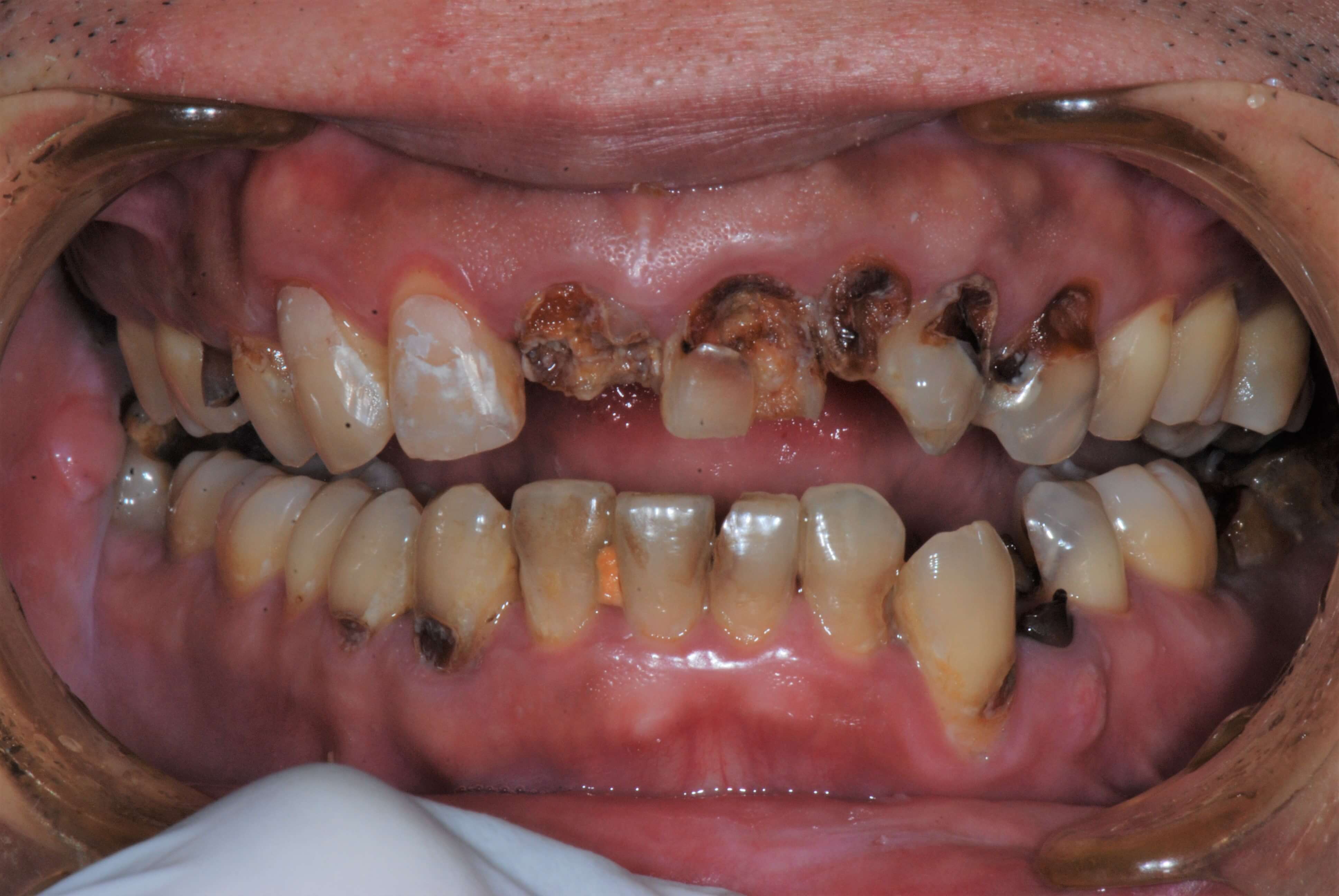
- 即時修復缺失的牙齒:隨著年齡的增長,有些牙齒會因為蛀牙、受損、咬裂或牙周病而喪失,導致口內的牙齒數量變得越來越少。很多人都認為口內的牙齒少掉幾顆無所謂,只要不會影響到美觀就好,殊不知那是個非常錯誤的觀念。

口內的牙齒每一顆都有它的功能,也有各自所要承受的咬合力,缺一不可。如果缺牙放任不管的話,不但失去了原本那顆牙齒的功能,而原本該牙應承受的咬合力,也會移轉給其他的牙齒承受。這樣一來,口內的其他牙齒要承受的咬合力就更大了,其它牙齒會因受力過大而更容易磨損斷裂。如果口內有缺牙情形的話,就要盡快的以植牙的方式將牙齒補回,既恢復牙齒的數量,也恢復正常的牙齒咬合力。

長期缺牙造成牙齒歪斜,牙齒磨損,咬合不正。
- 避免不良的咬合習慣: 咬鉛筆、筷子等,都是不好的咬合習慣。我們的咬合肌肉的協調運作都是很精密的,不良的咬合習慣常常會影響到咬合肌肉的運作,造成咬合肌的不平衡而引發相關的併發症,如顳顎關節症候群等。所以平時就要避免不良的咬合習慣,如果發現有咬合肌肉異常的症狀,那就要趕快尋求專業的醫師協助,避免日後狀況變得越來越嚴重。
- 注意顳顎關節的狀況: 隨著年紀增長,顳顎關節也會開始出狀況,除了平常老化磨耗外,年長者的牙齒不正常耗損也是會傷害到顳顎關節。因為牙齒的長度變短時,咬合的高度就會變低,我們的顳顎關節在咬合時就會被擠壓的更深更緊,造成關節的卡死脫臼。所以平時對於牙齒的照顧和保養就顯得很重要,維持健康的牙齒也是保護顳顎關節的方式之一,關節就不會因咬合不良而受到傷害。
平時如果有發現有顳顎關節的問題,或關節卡死脫臼的現象,就要趕快尋求專業的醫師協助,以免之後狀況變得越來越嚴重

老化是我們大家都無法避免的必經之路,但是要如何過的健康又有品質,就是我們自己的選擇。好好地注重日常口腔的清潔與保養,定期檢查追蹤,我相信不管是在哪一個年齡層的你,都一定可以擁有一副健康美麗的好牙齒。

張智洋 醫師
【醫師的價值,不在於製作了什麼,而在於預見了什麼、和堅持了多少細節。】
醫師介紹
www.teethonline.com.tw