顳顎關節偏移症候群:你不知道的偏頭痛真相

你是否經常有偏頭痛、肩頸痠痛、耳鳴、牙痛,但醫生卻查不出原因?小心,這些看似無關的小毛病,其實可能來自你的下巴——顳顎關節(TMJ)出問題了。
什麼是顳顎關節偏移症候群?
顳顎關節位在我們耳朵前方,負責控制下顎的張合。如果下顎往前、後、左右偏移,就會影響到咀嚼、說話、甚至全身姿勢。這種關節錯位引發的全身症狀,被稱為「顳顎關節偏移症候群(Neuromuscular TMJ Disorder)」。
常見症狀有哪些?
以下是你可能經歷過但沒察覺的症狀:
-
偏頭痛、臉部緊繃疼痛

-
耳鳴、耳痛、頭暈

-
張口卡住、喀喀聲、嘴巴張不開

-
咬合不正、牙齒磨損或疼痛

-
肩頸僵硬、背痛、腰痛、甚至走路不穩
► 許多患者在咬合問題改善後,這些症狀竟然都「奇蹟式」地緩解。因為這些全身性症狀,常常都是由於咬合異常所引起的[顳顎關節偏移症候群]所導致。
為什麼一個小小關節會影響全身?
顳顎關節與頭部、頸部、脊椎及全身的肌肉神經息息相關。當它偏移時,身體為了保持平衡會自動調整姿勢,進而導致一連串不適,如肌肉疲勞、神經壓迫、甚至影響視覺、聽覺、情緒與睡眠品質。

顳顎關節為什麼會偏移?
造成下顎錯位的原因很多,包括:
-
先天顎骨發育不良
-
牙齒咬合不正(如磨牙、偏咬、牙齒缺失)

-
不良牙科治療(牙齒高度不一致、假牙安裝位置錯誤)
-
長期情緒壓力、磨牙或咬硬物
這些因素都會讓原本應該穩定的關節位置,逐漸產生偏移,影響咬合與全身健康。
治療方式有哪些?
治療顳顎關節偏移的核心,是「讓下顎回到正確位置」。方式可能包括:
-
咬合調整
-
下顎定位器(Orthotic)
-
牙齒矯正或重建
-
植牙與陶瓷貼片修復
► 關鍵是先評估出「正確的下顎位置」,就像做汽車四輪定位,再依狀況逐步修復。
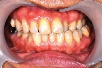
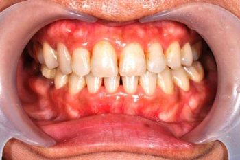
病例分享:從偏頭痛到重拾笑容
一名年輕女性因咬合不正導致顳顎關節偏移,長年受偏頭痛、咬字困難所苦。治療後,下顎回到理想位置,不但頭痛消失、講話清晰,連臉型也變得更對稱自信。

治療前

治療後

治療前

治療結束後,可見下顎已恢復至正常位置

治療前

治療後
小結
顳顎關節偏移不是罕見病,而是許多「原因不明」症狀背後的關鍵。若你也經歷以下狀況:
-
不明原因的偏頭痛或耳鳴
-
張口困難或咬合不穩
-
下巴歪斜、牙齒磨損
► 建議諮詢專業牙醫進行咬合與顳顎關節評估。
⇒ 想了解更多?歡迎預約我們的顳顎關節專業檢查,一起找出你的健康根源。
更多資訊請參閱 https://teethonline.com.tw/neuromuscular