全瓷美齒貼片:打造自然亮白笑容的秘密武器
你是否對自己牙齒的顏色、形狀或排列感到不滿意?全瓷美齒貼片(Porcelain Veneers)是一種快速又安全的牙齒美學改善方式,讓你在最短時間內擁有自信燦爛的笑容。
什麼是全瓷貼片?
全瓷貼片是一種超薄的瓷質材質,厚度約 0.3mm~0.5mm,會貼附在原本的牙齒表面,用來改善牙齒的顏色、形狀、大小或微小排列問題。製作過程精細,需要牙醫師的高精準度與美感判斷。

跟傳統樹脂貼片或金屬烤瓷貼片不同的地方是,瓷牙貼片使用「全陶瓷」做為材質,陶瓷貼片不含金屬成份,生物相容性高,不易產生牙齦過敏;用陶瓷製成的牙齒貼片外觀自然透亮,無論在色澤、紋理細節或光透度上,都能做到讓人難辨真偽的高擬真度。除此之外,搭配有「DSD微笑設計」大數據分析的照片以及動態影片中笑容,可以為您打造出專屬的微笑曲線,讓您也能像平面模特兒般拍照零死角,時時刻刻展現迷人的笑容!
適合做貼片的人有哪些?
- 牙齒顏色深沉(如四環黴素牙)無法用美白改善者
- 牙齒形狀不美觀(如過小牙、錐形牙)
- 牙縫過大影響美觀者
- 輕微排列不整,不想戴牙套者
- 想要整體提升牙齒外觀與笑容自信者
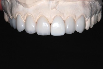
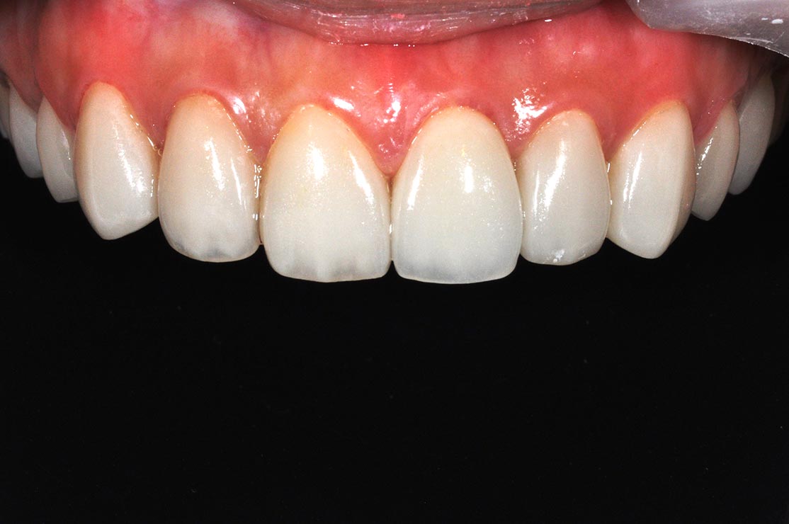
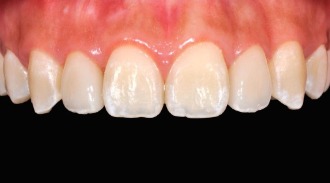
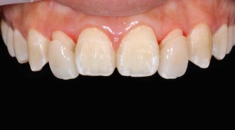
陶瓷貼片前
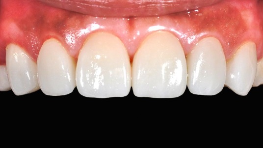
陶瓷貼片後
全瓷貼片的優點
- 自然美觀:透光性佳,仿真度高,不易看出人工痕跡
- 變色機率低:全瓷材質不易染色,長期維持亮白
- 保留原牙結構:僅需修磨極少量牙齒
- 快速完成:大多數療程可於兩週內完成
陶瓷貼片最大的優點是它能夠改變牙齒的「顏色」及「形狀」, 除了牙齒美白之外,也可一併調整牙齒排列,同時達到牙齒美白和牙齒微矯型的雙重效果。由於全瓷貼片是半透明的材質,透過高強度黏合劑黏貼在牙齒後會透出自然牙的色澤,非常美觀自然,完全看不出有人工痕跡,對於希望擁有一口迷人微笑的患者是最佳選擇。




療程流程
- 初診評估:牙醫師將進行全面口腔檢查與設計美學方案
- 數位掃描與模擬:透過 3D 掃描模擬最終效果
- 輕微修磨與貼片製作:交由專業技工室訂製高精密貼片
- 正式黏著與微調:確認顏色與形狀後精準黏著
陶瓷貼片製作
陶瓷貼片安裝
陶瓷貼片安裝完成
常見問題
Q:貼片會不會傷害牙齒?
貼片僅需極小修磨表層琺瑯質,若由專業醫師操作,對牙齒的影響非常有限。
Q:會不會看起來很假?
不會。高品質的全瓷貼片有極佳透光性,加上醫師的專業審美設計,能創造自然亮白的笑容。
Q:可以用多久?
貼片壽命約為 10~15 年,視個人保養與咬合狀況而定。定期回診與良好口腔習慣可以延長使用年限。
Q:陶瓷貼片與全瓷冠的不同?
陶瓷貼面和全瓷冠都可用於解決許多相同的牙齒美學問題,但通常這兩種治療方法卻是截然不同。 陶瓷貼片僅覆蓋牙齒的前部可見部分,通常用在堅固健康的牙齒上,因為對牙齒造成的傷害最小。 相反,全瓷冠是用來“蓋住”整顆牙齒的,在美學修復之外另提供結構保護。 因此全瓷冠通常是用來治療已經嚴重損壞的牙齒。
雖然磨牙為陶瓷貼片必要的過程,但透過顯微微創磨牙技術,已可以將磨牙量控制在 0.3 ~ 0.5 mm。相較於傳統作法的全瓷冠,可保留超過 6 ~ 7 倍以上的牙齒琺瑯質。
Q:陶瓷貼片適合對象?
下面這些情況都可以透過陶瓷貼片來改善:
- 四環黴素牙齒染色
- 天生牙齒黃,冷光美白後仍不滿意的黃板牙
- 咖啡垢、茶垢造成的牙齒染色
- 牙齒破損、斷裂、缺角(尤其是門牙)
- 門牙有縫,牙齒間隙過大,又不想花大錢做牙齒矯正
- 牙齒形狀過大或過小,例如錐形牙(虎牙)、短牙
- 希望重建完美微笑曲線
景正牙醫的貼片特色
我們堅持使用頂級全瓷材料,搭配數位微笑設計(Digital Smile Design, DSD),每一片貼片皆由技師手工訂製,讓你的笑容量身打造、專屬唯一。

陶瓷貼片
無論你想改善黃牙、齒縫,還是追求明星級笑容,我們都能為你規劃最自然、最舒適的療程。