全口重建:重拾健康咬合與自信笑容
現代人壓力大、飲食精緻,牙齒容易出現咬合不正、磨耗、缺牙等問題,影響的不只是美觀,還可能造成咀嚼功能下降、顳顎關節疼痛,甚至連身體姿勢都可能受到影響。這時,就需要進行「全口重建」治療。
什麼是全口重建?
全口重建(Full Mouth Rehabilitation)是針對整口牙齒功能與外觀進行全面性的整合治療,讓患者重新找回自然的咬合關係、美觀的微笑曲線,以及健康的口腔機能。

治療內容包含:
- 缺牙的植牙或假牙重建
- 嚴重磨耗牙齒的陶瓷修復
- 咬合重建與調整
- 顎關節評估與治療
- 美學牙科設計,提升整體外觀
這不是單純「補牙」,而是結合牙科各專科的團隊治療,為您的口腔打造「重新上線」的計畫。
哪一類的人會需要全口重建?
以下狀況的患者,可能會是全口重建的理想對象:
- 長期牙周病 →造成多顆牙齒鬆動或缺失
- 嚴重磨牙 →造成牙齒磨耗短小,喪失咬合高度。
- 咬合過高或過低 → 造成咀嚼困難,睡眠障礙合併頭痛;大小臉。
- 咬合不正 →導致顳顎關節疼痛或頭頸痠痛
- 缺牙 → 單點施力造成咀嚼困難,臉部大小邊,牙齒移位
- 過去有大量補綴物但功能與美觀不理想
- 期待透過牙科美容改善整體外觀與自信
牙齒缺失數目太多、上下牙無法咬在一個穩定的咬合、全口牙齒有明顯磨耗、或因咬合引起顳顎關節問題的病人等都可能是潛在的需要全口重建的患者,由於每個患者的狀況都不一樣,唯有透過醫師仔細的診斷才能確立正確的治療計畫。
全口重建是個龐大的跨科治療療程,前置作業通常包括洗牙或是拔除無法救治的牙齒,還有根管治療、補牙、牙周病治療等其它口腔整理工作;而一部份患者仍需配合局部或是全口的矯正重整,再用傳統的活動假牙、固定假牙或目前最盛行的人工植牙來搭配全口的重建療程。

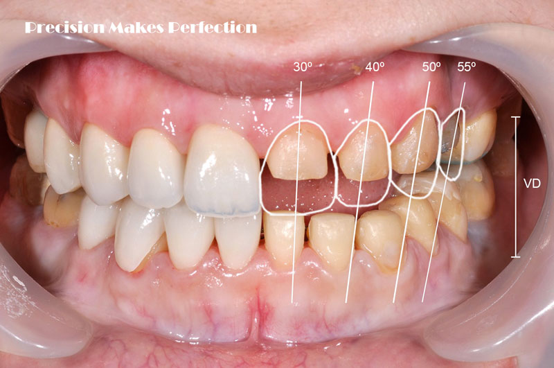
在全口重建的治療中,其精隨在於如何建立新的牙齒外型、新的咬合關係和新的咬合高度。因為咬合高度的喪失是經年累月所造成的,所以在全口重建的過程中,病人的適應性和耐心是絕對需要的。
另外沒有後牙穩定咬合關係的患者和深咬的患者,如此就必須將全口的牙齒進行重建,所以這樣一個全新的改變也必定是一個很大的工程。唯有病人和牙醫師的互相配合,全口重建才能順利的完成。
而且在許多的顳顎關節偏移治療的案例中,常會需要全口重建來配合作穩定咬合的治療。
我們的治療特色:專業整合 × 精密規劃
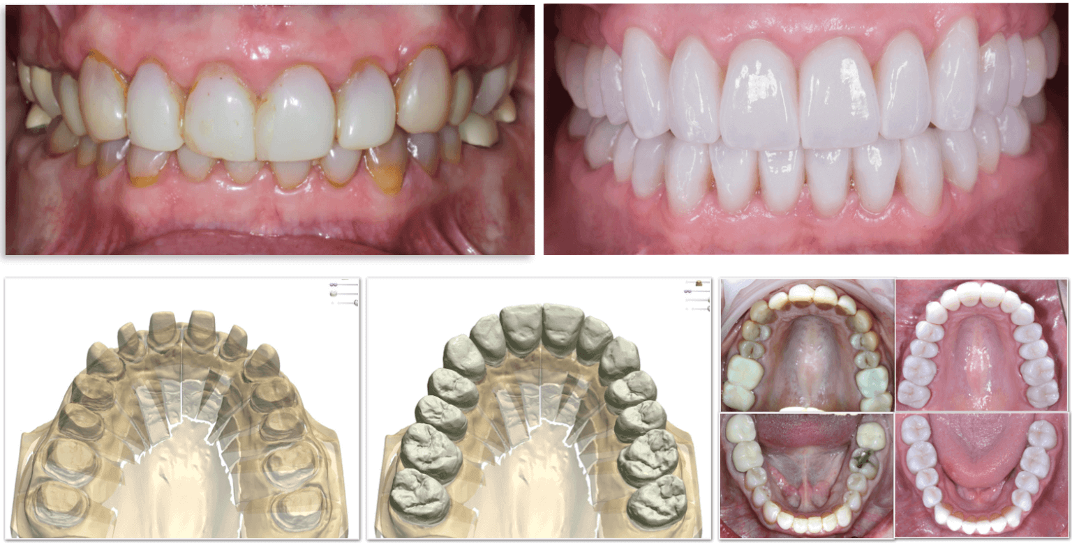
景正牙醫在全口重建方面,採用數位口掃、顳顎關節動態分析儀等精密設備,搭配經驗豐富的牙醫師團隊,為您量身打造最適合的重建方案。
我們重視的不只是「補好牙」,而是讓每一顆牙齒在對的位置、發揮正確功能,達成健康與美感的雙重標準。

治療流程簡介
- 初診評估與數位分析:評估咬合、關節、牙周等整體狀況
- 個人化治療規劃:整合專科意見,制定完整方案
- 階段性執行:從牙周、植牙、咬合到修復,分段進行
- 微笑設計與美學修復:結合美感與功能,打造專屬微笑
- 後續追蹤與保養指導:確保重建成果長期穩定



讓咬合回歸平衡,身心同步提升
全口重建不只是「修牙」,而是幫助您回到最自然、最健康的狀態。如果您長期被牙齒問題困擾,或對自己的微笑缺乏自信,不妨來景正牙醫,讓專業團隊為您找回口腔與生活的平衡。
歡迎預約諮詢,與我們一起啟動「全口重建」的新生活。