人工植牙是以鈦金屬植體作為牙根,放置在缺損牙齒原有的位置,再接出單獨的假牙。過程中不會傷害到鄰接的牙齒,使用上也是和真牙的力量相當。
植牙過程一般分為兩個階段:第一階段先將植體放置於骨內,讓植體與骨結合;第二階段接出柱心並裝上假牙。整個療程約需3至6個月。

人工植牙的好處是?
- 保留健康的鄰牙:傳統的牙橋需修磨前後鄰牙,即『缺一顆真牙需做三顆假牙』。而人工植牙不必破壞真牙即可修復缺牙。
- 提供更理想的假牙設計:若缺牙數目較多,人工植牙可做成固定假牙,不需佩戴活動假牙;但若條件不足,人工植牙亦可用來支撐活動假牙,提供比傳統活動假牙更好的穩固性與咀嚼力量。
- 更好的支撐力:全口無牙時,可以人工牙根做較有咬合力較穩固之活動假牙;條件允許時也可做成全口固定假牙。
- 更好的咬合力:人工植牙能提供比傳統牙橋假牙或活動假牙更好的咬合力。
缺牙或拔牙後如不趕緊做膺復,鄰牙會傾倒造成齒列及咬合不良而引起蛀牙及牙周病。傳統治療上有兩種選擇:一種是削磨缺牙處兩側鄰牙作成固定式牙橋;第二種是做成活動假牙。前者因要磨掉兩側好的牙齒,且牙橋較易藏食物殘渣形成口腔異味;後者裝戴上較不便且有異物感。所以在身體狀況、骨質條件及預算允許下,植牙應是最佳選擇。

人工植牙治療過程?
植牙手術前通常會需要詳細的計畫,就像蓋房子前需要設計圖一樣。
術前評估檢查
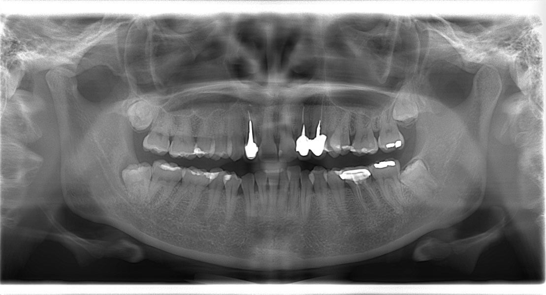
首先在植牙手術前,我們會做詳細的評估,這包括身體的健康狀況,口腔清潔,植牙部位的條件,有任何其他咬合的問題等。這時會先拍攝環口X光片與 3D斷層影像CT,來評估牙肉底下的骨頭條件。


我們的口腔組織不是平面而是3D立體的,許多的組織構造是無法靠一張平面的X光片就可以看得淸楚,所以 3D斷層影像CT 就很重要。透過斷層掃描CT的資訊,可以讓我們看到臉部許多組織構造的3D位置,在手術時就可精準的避開重要的神經與血管,進而增加植牙手術的安全性。
再來,透過電腦程式搭配 3D斷層掃描CT 的應用,可以準確地測量出齒槽骨立體的寬度與深度,以便找出最適當的植牙位置與角度。這些資訊也可判斷出植牙位置的骨頭條件是否足夠?如果需要補骨手術時,需要用何種的手術方式重建? 讓我們在手術之前就可以有一個精準的規劃。


手術導引板 Surgical Guide 的使用

依照電腦的規劃結果,可製做出需要的手術導引版和相關的植牙零件,使得手術結果與電腦模擬達到零誤差。





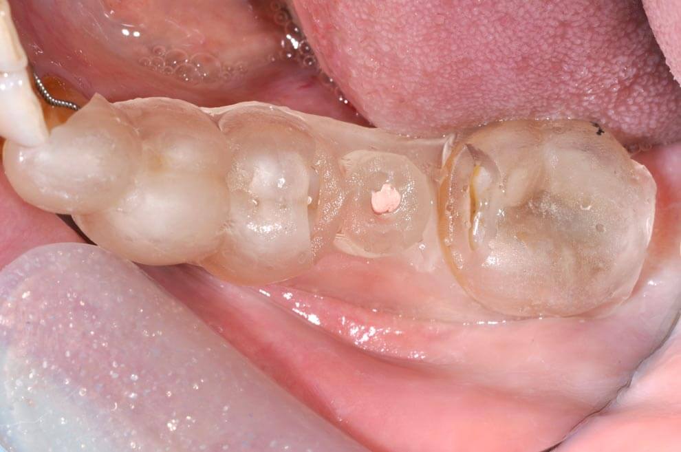
臨時假牙/牙齦塑形器
常常覺得植牙完後會卡食物嗎? 現在用牙齦塑形器就可以避免了。
在安裝正式植牙假牙前,會先按照電腦規劃的結果設計,製作臨時假牙/牙齦塑形器,用來塑形牙肉使其恢復至正常的牙縫型態,避免日後發生卡牙縫的問題。





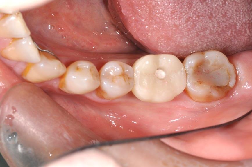
正式植牙假牙安裝
全瓷植牙假牙安裝,治療完成。正式植牙假牙有著比較多的細節,顏色與形狀也像真牙般逼真。


正式植牙假牙


顏色與形狀與都有較多的細節
針對病人的狀況與需求,有時候如果情況比較複雜時,人工植牙還會搭配其他的項目一起協同治療
人工植牙的優缺點?
- 治療費用
- 治療時間
- 手術前必須進行植牙區齒槽骨高度和寬度與全身健康的評估。
其實人工植牙的門檻並不是很高,對於身體的狀況並無特別的要求。如果您的身體狀況可以拔牙的話,你就可以植牙。患者的身體狀況評估包括:糖尿病的控制良好與否,一般而言糖化血色素最好在7.4以下;心血管疾病是否穩定,如有長期服用阿斯匹林(Aspirin)等抗凝血劑,需經醫師評估於術前 服用骨質疏鬆症的藥物如福善美(Forsamax)等都需事先告知植牙醫師。
再者植牙區骨質條件需要X光影像評估,如骨質條件不佳則可考慮補骨(自體骨或合成骨)、擴骨、上頷竇提高等改善植牙條件,同時考慮療程預算,選擇適合的治療方式及治療計劃。
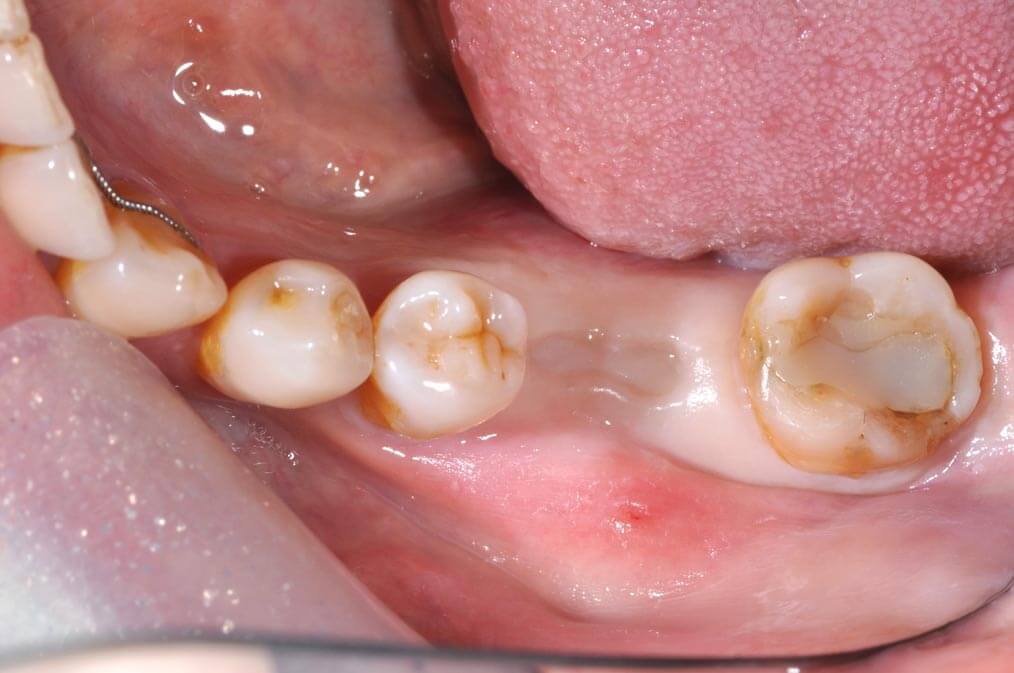
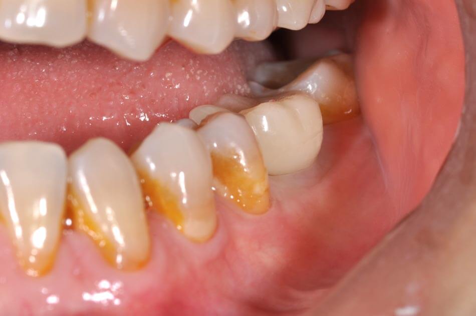
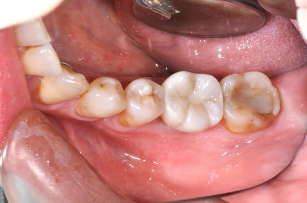
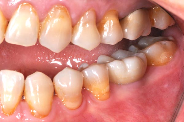
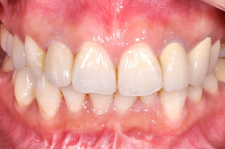
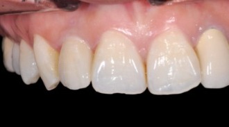
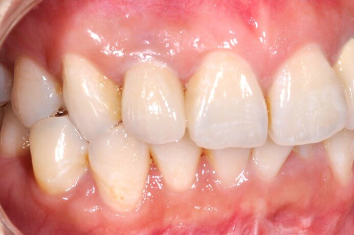
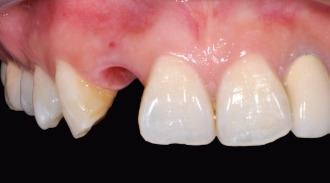
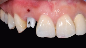
植牙前
植牙全瓷牙冠
植牙後
更多植牙案例
美觀區植牙與一般植牙有何不同?
美觀區植牙通常是用於前牙的區域,對於美學較有要求的部位。相較於一般植牙,美觀區植牙更須要注重牙齒美學的考量。另外前牙區的骨壁較薄,缺牙後會有較多的骨質流失,頰側的骨頭容易凹陷。也因此前牙植牙是較具挑戰性的,植牙前各方面的謹慎評估會比一般後牙區植牙來得複雜許多
客製化 二氧化鋯 連接器組合
仿真 植牙用 全瓷牙冠
牙齦塑形來模仿自然牙齒的型態
客製化 二氧化鋯 全瓷連接器,避免牙齦產生黑色陰影
模仿自然牙齒的全瓷假牙安裝
安裝後側面
正面
人工植牙可以用一輩子嗎?

有些患者認為人工植牙不會蛀牙,所以不需要進行口腔保健,這可是徹頭徹尾的誤解。相反地,做人工植牙之後,需要投入的口腔保健其實還要更多。
人工植牙時是將鈦金屬製成的螺絲(人工牙根)穿過牙齦,整個置入於齒槽骨當中。想要人工植牙長久耐用,那就需要保持牙齦的健康。當覆蓋人工植體的牙齦發炎時,就會導致螺絲周遭的牙齦鬆弛,使得黴菌進入齒槽骨中。此時原本給予人工植體支撐的齒槽骨就會逐漸流失,最後造成人工植體脫落。所以在日常的清潔護理上,需要比一般的自然牙齒來的仔細。
除此之外,刷牙過於用力而導致牙齦萎縮,細菌就會容易附著於外露的人工牙根上,進而引發牙齦感染。為了防止此情形發生,接受人工植牙的患者更應該定期接受牙醫師的護理照顧。
有那麼多家植牙系統,我該選哪一種?
許多人都會好奇,現在植牙的品牌上百種,看的眼花撩亂的,到底那一個品牌最適合?其實這方面牽尺到許多的專業範圍,幷沒有一個正確的答案。每個醫師都會依照不同的狀況,來選擇最合適當下的植體品牌和型號。而只要是合格認證過的植體,都是可以安全的在人體內使用的。

不同廠牌的植牙系統
每個植牙系統都大同小異,主要功用都是將鈦金屬牙根放入齒槽骨來取代牙齒的功能。主要的不同在於零件的設計與配件的搭配,不同的情況適合不同的配件,功用也不相同。這些都是依照醫生的技術與經驗來做選擇。
所以在做選擇時,應該以醫師本身的技術為主,而不是以植牙品牌來選擇醫師。每個品牌都有它的優缺點,都是依賴醫師的專業考量,來決定是否適合你口內的狀況。事實上也並不是越好的品牌,治療的效果就越好。況且既使品牌再好,如果醫師的技術不夠,也是一樣無法達到預期的結果。就好比是如果開車的駕駛技術不好,既使開的是法拉利也是會出事的。

不同類型的植牙連接器

植牙整體展示
我們使用的都是世界前幾大的歐美知名植牙系統品牌,品質安全有保證,也方便日後保養維修。
